L’endodonzia è una branca dell’odontoiatria che si occupa dei tessuti interni al dente, quindi della polpa dentale che comprende arteriole, venule, nervi e cellule che producono la dentina, strato duro dotto lo smalto e il cemento del dente.
Grazie alla devitalizzazione in endodonzia è possibile mantenere i propri denti nonostante questi abbiano subito l’attacco di una carie profonda che ha compromesso la polpa piuttosto che un trauma che ne ha causato la necrosi.
Riguardo a devitalizzazione ed endodonzia, esistono diversi aspetti che può essere interessante approfondire, anche per arrivare preparati ad affrontare la cura canalare che, come la maggior parte dei trattamenti medici, spesso è accompagnata da un certo timore.
Vediamo allora, partendo dall’endodonzia e dal suo significato, quali sono le diverse fasi del trattamento (con un focus sul processo di detersione con ipoclorito di sodio e acido citrico – in endodonzia considerati i migliori irriganti grazie alle molte proprietà), in cosa consiste l’endodonzia pediatrica.
Questo un breve sommario dei paragrafi presenti nell’articolo:
1. Endodonzia: significato e anatomia dentale
Per comprendere al meglio cos’è e quali sono le tecniche di endodonzia, quindi il significato di questi interventi mirati e di conseguenza le procedure interessate, è innanzitutto necessario conoscere esattamente l’anatomia dei denti presenti nel cavo orale: la parte non visibile di questi elementi, infatti, è un complesso di vasi sanguigni (vene e arterie), terminazioni nervose e cellule connettivali.

Si tratta di un tessuto connettivo che prende il nome di polpa dentaria – anche definita comunemente “nervo del dente” –, estesa dalla corona all’estremità delle radici, punto nel quale si collega al tessuto circostante (ossia l’osso).
Le cause principali che portano alla necessità di intervenire con un trattamento endodontico sono le carie profonde e i traumi di varia natura che predispongono i tessuti interni alla contaminazione batterica. Il processo infiammatorio che prende avvio da questo attacco è la pulpite, una situazione generalmente piuttosto dolorosa e tra le più frequenti cause del mal di denti (in molti casi non localizzabile precisamente dal paziente).
Un’altra possibilità di intervento tramite devitalizzazione in endodonzia (oltre al ritrattamento di elementi già interessati da precedenti cure che non sono state risolutive) è di natura protesica e si riferisce all’applicazione di una corona dentale (capsula): quando la preparazione dell’area dove alloggerà questa protesi fissa prevede un avvicinamento importante alla polpa, per prevenire eventuali fastidi e dolori futuri, si procede alla cura canalare del dente.
In ognuna di queste circostanze, intervenire sui denti coinvolti tramite la devitalizzazione è per endodonzia l’unica soluzione realmente risolutiva per non dover procedere all’estrazione. Si agisce rimuovendo e sostituendo il tessuto della polpa dalla corona alle radici, in una o più sedute a seconda dei casi. Si suddivide infatti tra:
- Endodonzia monocanalare – trattamento che interessa quegli elementi dentali che presentano una sola radice e un solo canale (caratteristica tipica dei denti anteriori, quindi incisivi centrali e laterali e canini). Naturalmente, tempi e modalità di intervento risulteranno rispettivamente più rapidi e semplici;
- Endodonzia bicanalare e pluricanalare – è rivolta ai denti dotati di più radici dove, per ognuna di queste, è possibile che vi siano più canali (peculiarità dei denti posteriori, quindi premolari e molari). L’Endodonzia bicanalare e quella pluricanalare richiederanno un maggior impegno, sia per la posizione degli elementi interessati che per la presenza di radici con decorsi particolari.
Grazie alle nuove tecniche e tecnologie sfruttate, anche i trattamenti di endodonzia bicanalare e pluricanalare risultano ormai veloci, quasi quanto quelli di endodonzia monocanalare.
2. Cura canalare: fasi del trattamento
Gli interventi di endodonzia, che siano su denti decidui o definitivi, causano inevitabilmente una perdita a livello di resistenza strutturale dell’elemento. Questo avviene in primo luogo a causa del fattore primario che ha portato la lesione e la conseguente necessità di intervento (quindi la carie profonda o la frattura).

È fondamentale eseguire al meglio ognuna delle fasi della devitalizzazione in endodonzia, così da ricostruire perfettamente il dente e scongiurare il rischio di una nuova frattura:
- Anestesia locale – si effettua per neutralizzare l’eventuale dolore in caso la polpa dentale sia ancora sensibile. In generale, è possibile affermare che il trattamento endodontico sia indolore e quando è presente una situazione necrotica o nei casi di ritrattamento endodontico, l’anestesia risulta addirittura superflua
- Isolamento del campo operatorio tramite posizionamento della “diga di gomma” – strumento fondamentale per ogni studio dentistico, nelle operazioni di devitalizzazione in endodonzia e, in generale, per intervenire efficacemente e soprattutto con precisione e sicurezza. La diga di gomma è un sottile foglio di gomma completo di un archetto e di un uncino metallici, dove il primo è teso e tenuto fermo dall’archetto, mentre l’uncino delimita la zona da trattare, isolando il dente dalla saliva ed evitando il pericolo di ingerire o inalare i disinfettanti, piuttosto che le lesioni causate dagli strumenti utilizzati
- Apertura della camera pulpare: procedimento estremamente delicato, eseguito creando una cavità di accesso attraverso la superficie occlusale (corona) del dente. Eseguire correttamente questo passaggio contribuisce sensibilmente a migliorare la qualità dell’intera cura canalare
- Reperimento del o dei canali (endodonzia monocanalare, bicanalare o pluricanalare) – grazie all’ausilio di strumenti di ingrandimento, si procede ad individuare gli imbocchi dei canali radicolari che, a seconda dei casi, possono essere anche molto piccoli, calcificati o nascosti
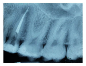
- Misurazione della lunghezza di ciascun canale – tramite un localizzatore elettronico apicale e una radiografia particolare, definita ‘endorale’ e rivolta ad un dente (fino a un massimo di 3), si procede a misurare il canale per tutte la sua lunghezza, quindi dalla corona fino all’apice della radice
- Preparazione del o dei canali – fase di asportazione della polpa canalare, insieme con i batteri e le sostanze infette, in modo tale da creare una forma a cono che risulta ideale per ricevere il materiale destinato all’otturazione
- Lavaggi con ipoclorito di sodio (e acido citrico) – in endodonzia e in particolare nel trattamento endodontico, è fondamentale detergere accuratamente la zona interessata dall’intervento e dar vita ad un ambiente che risulti il più possibile asettico.
- Otturazione dei canali radicolari – realizzata con un materiale apposito (guttaperca) associato al cemento canalare, per un risultato resistente e duraturo
- Sigillazione con un’otturazione provvisoria – tipicamente realizzata con una pasta di idrossido di calcio (in endodonzia considerato il materiale ideale per le medicazioni provvisorie grazie alle sue proprietà antibatteriche) e clorexidina
- Controllo radiografico – per valutare, alla fine della cura, la corretta riuscita dell’intervento effettuato
- Ricostruzione del dente – una volta rimossa l’otturazione in idrossido di calcio, il trattamento di endodonzia può dirsi concluso
Detersione e irrigazione in endodonzia
Una fase fondamentale e molto delicata della cura canalare è quella di detersione della zona interessata dal trattamento, sia meccanicamente che chimicamente. Infatti, questo step preparatorio è in grado, se mal eseguito, di compromettere l’intero lavoro.

L’irrigazione ha l’obiettivo di eliminare dall’endodonto una serie di elementi quali il tessuto organico (quindi la polpa), le tossine, i batteri e, non meno importante, i detriti prodotti dall’utilizzo degli strumenti utili per la terapia canalare.
Fino a qualche anno fa, la detersione avveniva utilizzando l’acqua ossigenata. Ad oggi, invece, l’ipoclorito di sodio in endodonzia è considerato, senza alcun dubbio, l’irrigante canalare di elezione, in quanto fluido dotato di potenti proprietà antisettiche (previene e combatte possibili infezioni) e solvente per le sostanze proteiche (appunto batteri o residui di polpa), in grado quindi di restituire un ambiente sterile. Ad esso viene associato l’acido citrico che in endodonzia è utilizzato come sostanza chelante del calcio.
Naturalmente, le soluzioni irriganti adoperate dovranno necessariamente bagnare il complesso dei sistemi dei canali radicolari allo scopo di assolvere totalmente alla loro funzione, raggiungendo in particolare le aree difficili o impossibili da raggiungere con gli strumenti. In tal modo, nella successiva fase di otturazione sarà possibile colmare gli spazi resi pervi dagli irriganti utilizzati con l’apposito materiale (quindi la guttaperca associata al cemento canalare).
3. Endodonzia pediatrica: nei bambini è ancora più importante

L’endodonzia nei bambini sui denti decidui (ossia i denti da latte) prende il nome di endodonzia pediatrica. Come per gli adulti, anche per i più piccoli la terapia interessa gli elementi dentari colpiti da una carie profonda che ha raggiunto la polpa oppure i denti che hanno subito un trauma il quale ha provocato la necrosi (riconoscibile anche dal cambio di colore del dente che si presenterà più scuro).
L’importanza dell’endodonzia su denti decidui deriva dal fatto che, nonostante si tratti di elementi destinati a cadere, questi hanno il compito di preparare la strada e mantenere lo spazio necessario per i denti definitivi, di conseguenza non devono essere estratti ma semplicemente resi non vitali.
L’endodonzia pediatrica prevedere gli stessi passaggi della cura sugli adulti, per cui il professionista procederà a rimuovere la polpa infetta o infiammata, ad irrigare e sagomare i canali radicolari e in ultimo a sigillarli con l’apposito materiale – in questo caso un cemento antibatterico riassorbibile. Come da procedura, infine, il dente verrà ricoperto.
[staticblock block=”5906″]





